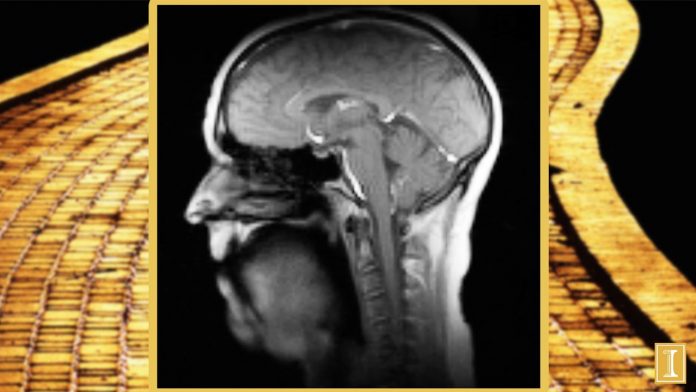
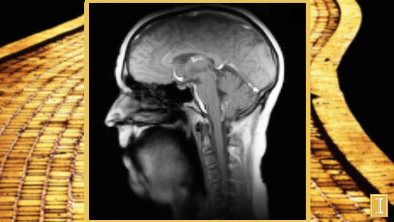
Normally, you have to stay absolutely still during an MRI, but researchers wanted to try a new technique that is 10-times faster than standard MRI scanners to illustrate how the hundreds of muscles in our neck, jaw, tongue, and lips work together to produce sound. The overall goal of the research is to see if singing in a group chorus can help people in retirement homes build stronger voices. Sounds like a worthy endeavor to me!


